বিশ্বে প্রথমবারের মতো জীবিত ব্যক্তির দেহ থেকে ফুসফুস প্রতিস্থাপনের ঘটনা ঘটেছে। করোনাভাইরাস নিয়ে দুনিয়াজুড়ে উদ্বেগের মধ্যেই চিকিৎসা ক্ষেত্রে বড় ধরনের এই সাফল্য পেয়েছে জাপান।
সিএনএন জানিয়েছে, করোনাভাইরাসে ফুসফুস ক্ষতিগ্রস্ত হওয়া এক নারীর শরীরে তার স্বামী এবং সন্তানের ফুসফুস প্রতিস্থাপন করা হয়েছে। চিকিৎসা বিজ্ঞানে ফুসফুস প্রতিস্থাপনের ঘটনা এর আগেও ঘটেছে। তবে ব্যতিক্রম হচ্ছে জাপানের এ ঘটনায় জীবন্ত ব্যক্তির ফুসফুস করোনা আক্রান্ত রোগীর দেহে প্রতিস্থাপন করা হয়েছে।
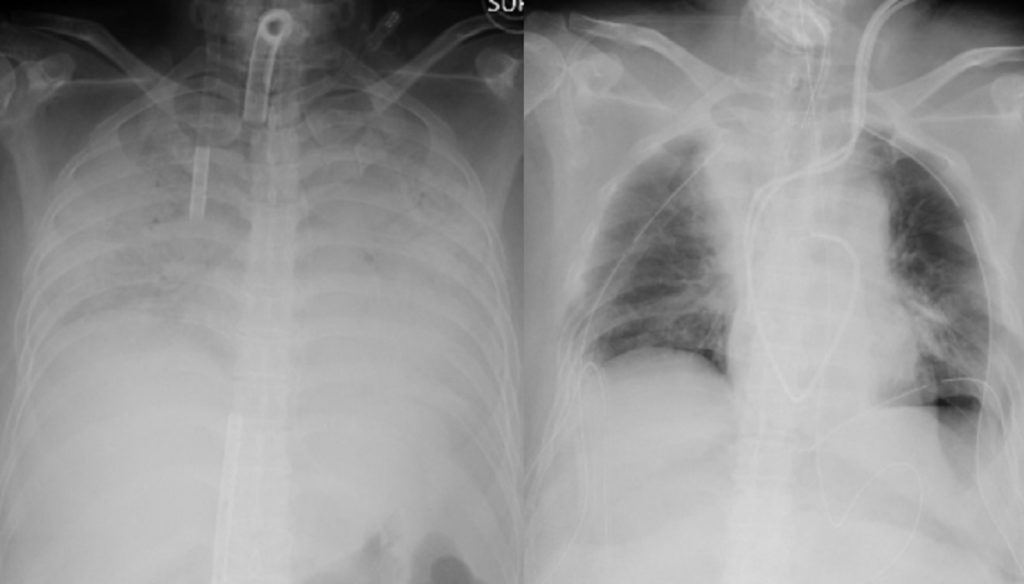
জাপানের কোয়োটা ইউনিভার্সিটি হাসপাতাল কর্তৃপক্ষ জানায়, সম্প্রতি ওই নারীর শরীরে করোনা সংক্রমণের ফলে তার ফুসফুস দুটি মারাত্মকভাবে ক্ষতিগ্রস্ত হয়। এতে তার বেঁচে থাকার সম্ভাবনা ক্ষীণ হয়ে পড়ে। পরে এই হাসপাতালের চিকিৎসকরা সিদ্ধান্ত নিয়ে ওই নারীর স্বামী ও ছেলের সুস্থ ফুসফুস তার দেহে প্রতিস্থাপন করতে সফল হন। ৩০ জন বিশেষজ্ঞ চিকিৎসকের জটিল এই অস্ত্রোপচার করতে সময় লেগেছে প্রায় ১১ ঘণ্টা।
হাসপাতাল কর্তৃপক্ষ জানিয়েছে, ডোনার জীবিত অবস্থায় সফল ফুসফুস প্রতিস্থাপনের ঘটনা বিশ্বের ইতিহাসে এটাই প্রথম। ফুসফুস প্রতিস্থাপনের এই পুরো অপারেশন যার নেতৃত্বে হয়েছে তার নাম ড. হিরোশি ডেট।
করোনার ফলে ওই নারীর নিউমোনিয়া হয়ে গিয়েছিল। তবে সফল অপারেশনের পর ড. হিরোশি এখন আশা করছেন দ্রুত সুস্থ হয়ে উঠবেন ওই নারী।
ইউএইচ/

